- 生化试剂
- ELISA检测
-
抗体蛋白
二抗生物素标记 过氧化物酶(HRP)标记 胶体金试剂 FITC荧光标记 RBITC荧光标记 二抗免疫血清 其它荧光标记二抗 藻红蛋白(PE)荧光标记 胶体金(Gold)标记 SAlexa Fluor荧光系列 碱性磷酸酶(AP)标记 别藻蓝蛋白(APC)荧光标记 其它标记 PE标记二抗 DyLight标记二抗 AU标记二抗 Biotin标记二抗 AMCA标记二抗 Texas Red标记二抗 TRITC标记二抗 HRP标记二抗 未标记二抗 Cy标记二抗 AbBox Fluor标记二抗内参抗体 小分子抗体抗体标记试剂盒细菌抗体蛋白病毒包装试剂杂交瘤融合筛选WB、IHC、ELISA相关试剂细胞培养试剂病原微生物抗原抗体假病毒抗体校准品其他抗原抗体标记的标签抗体病理级IHC抗体重组蛋白
- 细胞培养
- 实验耗材
- 仪器设备
- 生化试剂盒
- 小分子试剂
- 基质胶
-
斑马鱼产品
订货时间:周一至周五
订货Q Q:79688691
订货邮件:79688691@qq.com
产品简介-
货号IM56680
-
别名SERPINA3; AACT; GIG24; GIG25; Alpha-1-antichymotrypsin; ACT; Cell growth-inhibiting gene 24/25 protein; Serpin A3
-
产品名称AACT Rabbit Polyclonal Antibody
-
抗体产品抗体产品
-
基因名称SERPINA3
-
蛋白名称Alpha-1-antichymotrypsin
-
ClonalityPolyclonal
-
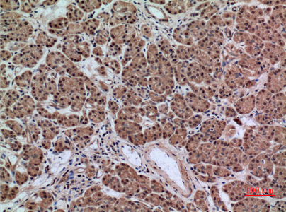
推荐应用WB,IHC-P,IF-P,IF-F,IF-ICC,ELISA
-
反应种属Human,Rat,Mouse
-
浓度1 mg/ml
-
存储缓冲液Liquid in PBS containing 50% glycerol, 0.5% BSA and 0.02% New type preservative N.
-
Human Gene ID12
-
Human Swissprot No.P01011
-
免疫原The antiserum was produced against synthesized peptide derived from the Internal region of human SERPINA3. AA range:251-300
-
特异性AACT Polyclonal Antibody detects endogenous levels of AACT protein.
-
稀释度WB 1:500-1:2000, IHC-P 1:100-1:300, ELISA 1:20000, IF-P/IF-F/IF-ICC 1:50-200
-
预测分子量46kDa
-
宿主Rabbit
-
同种型Rabbit,IgG
-
背景介绍The protein encoded by this gene is a plasma protease inhibitor and member of the serine protease inhibitor class. Polymorphisms in this protein appear to be tissue specific and influence protease targeting. Variations in this protein's sequence have been implicated in Alzheimer's disease, and deficiency of this protein has been associated with liver disease. Mutations have been identified in patients with Parkinson disease and chronic obstructive pulmonary disease. [provided by RefSeq, Jul 2008],
-
组织表达Plasma. Synthesized in the liver. Like the related alpha-1-antitrypsin, its concentration increases in the acute phase of inflammation or infection. Found in the amyloid plaques from the hippocampus of Alzheimer disease brains.
-
细胞定位caution:It is uncertain whether Met-1 or Met-4 is the initiator.,disease:Defects in SERPINA3 may be a cause of chronic obstructive pulmonary disease (COPD) [MIM:107280].,domain:The reactive center loop (RCL) extends out from the body of the protein and directs binding to the target protease. The protease cleaves the serpin at the reactive site within the RCL, establishing a covalent linkage between the carboxyl group of the serpin reactive site and the serine hydroxyl of the protease. The resulting inactive serpin-protease complex is highly stable.,function:Although its physiological function is unclear, it can inhibit neutrophil cathepsin G and mast cell chymase, both of which can convert angiotensin-1 to the active angiotensin-2.,miscellaneous:Alpha-1-antichymotrypsin can bind DNA.,online information:Alpha-1 antichymotrypsin entry,sequence caution:Translation N-terminally shortened.,similarity:Belongs to the serpin family.,subunit:Interacts with DNAJC1.,tissue specificity:Plasma. Synthesized in the liver. Like the related alpha-1-antitrypsin, its concentration increases in the acute phase of inflammation or infection. Found in the myloid plaques from the hippocampus of Alzheimer's disease brains.,
-
功能The antibody was affinity-purified from rabbit antiserum by affinity-chromatography using epitope-specific immunogen.
储存与保存1.保存:-20℃
2.有效期:1年
注意事项1.我司生产的生化试剂如无特殊标注,基本为非无菌包装,若用于细胞实验,请提前做好预处理。需低温保存的产品,一旦配成溶液,请分装保存,避免反复冻融造成的产品失效。
2.本产品仅供科研使用。请勿用于医药、临床诊断或治疗,食品及化妆品等用途。请勿存放于普通住宅区。
3.为了您的安全和健康,请穿好实验服并佩戴一次性手套和口罩操作。
4.实验结果可由多种因素影响,相关处理只限于产品本身,不涉及其他赔偿。
备注:由于产品信息可能会有优化升级,请以实际收货标签信息为准。
-
NF-κB p65 (Phospho Ser536) (14B13) Rabbit Monoclonal Antibody¥1300.00货号:IM72029 -
PI3-Kinase p110α (11A15) Rabbit Monoclonal Antibody¥1300.00货号:IM72028 -
FAP (6L4) Rabbit Monoclonal Antibody¥1300.00货号:IM72027 -
KANSL1L Rabbit polyclonal antibody¥1400.00货号:IM72021 -
CD46 Recombinant Rabbit mAb¥1400.00货号:IM72020






