- 生化试剂
- ELISA检测
-
抗体蛋白
二抗生物素标记 过氧化物酶(HRP)标记 胶体金试剂 FITC荧光标记 RBITC荧光标记 二抗免疫血清 其它荧光标记二抗 藻红蛋白(PE)荧光标记 胶体金(Gold)标记 SAlexa Fluor荧光系列 碱性磷酸酶(AP)标记 别藻蓝蛋白(APC)荧光标记 其它标记 PE标记二抗 DyLight标记二抗 AU标记二抗 Biotin标记二抗 AMCA标记二抗 Texas Red标记二抗 TRITC标记二抗 HRP标记二抗 未标记二抗 Cy标记二抗 AbBox Fluor标记二抗内参抗体 小分子抗体抗体标记试剂盒细菌抗体蛋白病毒包装试剂杂交瘤融合筛选WB、IHC、ELISA相关试剂细胞培养试剂病原微生物抗原抗体假病毒抗体校准品其他抗原抗体标记的标签抗体病理级IHC抗体重组蛋白
- 细胞培养
- 实验耗材
- 仪器设备
- 生化试剂盒
- 小分子试剂
- 基质胶
-
斑马鱼产品
订货时间:周一至周五
订货Q Q:79688691
订货邮件:79688691@qq.com
产品简介-
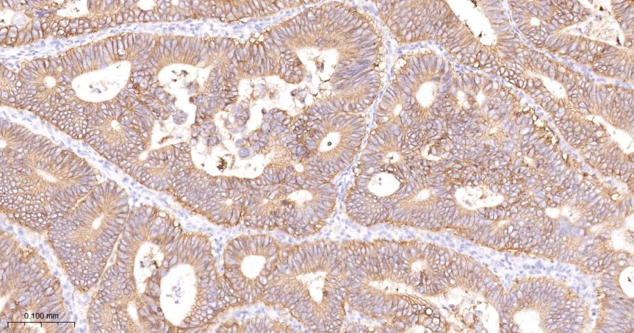
货号IM72020
-
产品名称CD46 Recombinant Rabbit mAb
-
别名MCP; CD46 antigen; CD46 molecule; CD46 molecule complement regulatory protein; Complement membrane cofactor protein antibody MCP; Measles virus receptor; Membrane cofactor protein; Membrane cofactor protein precursor; MIC 10; MIC10; TLX; TRA2.10; Trophoblast leucocyte common antigen; Trophoblast lymphocyte cross reactive antigen; Antigen identified by monoclonal antibody TRA 2 10.
-
类别抗体产品
-
推荐应用WB,IHC-P,IHC-F,IF,ICC/IF
-
交叉反应Human
-
抗体来源Rabbit
-
免疫原A synthesized peptide derived from human CD46 : 30-87
-
亚型IgG
-
性状Liquid
-
纯化方法affinity purified by Protein A
-
克隆类型Recombinant
-
克隆号4C3
-
理论分子量36 kDa
-
浓度1mg/ml
-
储存液0.01M TBS (pH7.4) with 1% BSA, 0.02% Proclin300 and 50% Glycerol.
-
稀释度WB 1:500-2000,IHC-P 1:100-500,IHC-F 1:100-500,IF 1:100-500 ICC/IF 1:50-200
-
研究领域Immunology > Cell Type Markers > CD > Non-lineage Immunology > Innate Immunity > Complement > Regulatory
-
SWISSP15529
-
Gene ID4179
-
背景介绍CD46 is one of the membrane complement regulatory proteins. CD46 possesses C3b-binding and factor I cofactor activities which play important roles in the regulation of the complement activation pathway. CD46 is widely distributed on blood cells, endothelial cells, epithelial cells and tumor cell lines. CD46 exists as many isoforms in a variety of tissues. The antigen has a broad distribution and is present on leukocytes, platelets, endothelial cells, epithelial cells and fibroblasts. It is strongly expressed on salivary gland ducts and kidney ducts, moderately on lymphocytes and endothelium, and weakly on interstitial tissues and muscle cells, but not on erythrocytes. It is expressed on thymocytes, B cells, monocytes, granulocytes, NK cells, platelets, epithelial and endothelial cells.
储存与保存Shipped at 4℃. Store at -20℃ for one year. Avoid repeated freeze/thaw cycles.
注意事项1.我司生产的生化试剂如无特殊标注,基本为非无菌包装,若用于细胞实验,请提前做好预处理。需低温保存的产品,一旦配成溶液,请分装保存,避免反复冻融造成的产品失效。
2.本产品仅供科研使用。请勿用于医药、临床诊断或治疗,食品及化妆品等用途。请勿存放于普通住宅区。
3.为了您的安全和健康,请穿好实验服并佩戴一次性手套和口罩操作。
4.实验结果可由多种因素影响,相关处理只限于产品本身,不涉及其他赔偿。
备注:由于产品信息可能会有优化升级,请以实际收货标签信息为准。
-
phospho-MYL12B (Ser20) Rabbit pAb¥1300.00货号:IM72031
-
iNOS (7T6) Rabbit Monoclonal Antibody¥1300.00货号:IM72030 -
NF-κB p65 (Phospho Ser536) (14B13) Rabbit Monoclonal Antibody¥1300.00货号:IM72029 -
PI3-Kinase p110α (11A15) Rabbit Monoclonal Antibody¥1300.00货号:IM72028 -
FAP (6L4) Rabbit Monoclonal Antibody¥1300.00货号:IM72027






