- 生化试剂
- ELISA检测
-
抗体蛋白
二抗生物素标记 过氧化物酶(HRP)标记 胶体金试剂 FITC荧光标记 RBITC荧光标记 二抗免疫血清 其它荧光标记二抗 藻红蛋白(PE)荧光标记 胶体金(Gold)标记 SAlexa Fluor荧光系列 碱性磷酸酶(AP)标记 别藻蓝蛋白(APC)荧光标记 其它标记 PE标记二抗 DyLight标记二抗 AU标记二抗 Biotin标记二抗 AMCA标记二抗 Texas Red标记二抗 TRITC标记二抗 HRP标记二抗 未标记二抗 Cy标记二抗 AbBox Fluor标记二抗内参抗体 小分子抗体抗体标记试剂盒细菌抗体蛋白病毒包装试剂杂交瘤融合筛选WB、IHC、ELISA相关试剂细胞培养试剂病原微生物抗原抗体假病毒抗体校准品其他抗原抗体标记的标签抗体病理级IHC抗体重组蛋白
- 细胞培养
- 实验耗材
- 仪器设备
- 生化试剂盒
- 小分子试剂
- 基质胶
-
斑马鱼产品
订货时间:周一至周五
订货Q Q:79688691
订货邮件:79688691@qq.com
产品信息-
产品货号IM54045
-
产品名称JAK2 Rabbit Polyclonal Antibody
-
别名JAK2; Tyrosine-protein kinase JAK2; Janus kinase 2; JAK-2
-
类别抗体产品
-
基因名称JAK2
-
蛋白名称Tyrosine-protein kinase JAK2
-
ClonalityPolyclonal
-
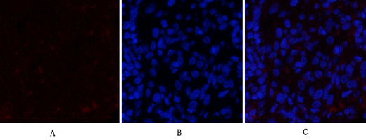
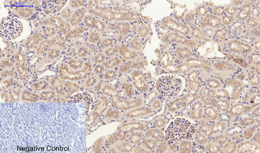
推荐应用IF-P,IF-F,IF-ICC,WB,IHC-P,ELISA
-
反应种属Human,Mouse,Rat
-
浓度1 mg/ml
-
存储缓冲液Liquid in PBS containing 50% glycerol, 0.5% BSA and 0.02% New type preservative N.
-
Human Gene ID3717
-
Human Swissprot No.O60674
-
Mouse Gene ID16452
-
Mouse Swissprot No.Q62120
-
Rat Gene ID24514
-
Rat Swissprot No.Q62689
-
免疫原The antiserum was produced against synthesized peptide derived from human JAK2. AA range:981-1030
-
特异性JAK2 Polyclonal Antibody detects endogenous levels of JAK2 protein.
-
稀释度IF-P/IF-F/IF-ICC 1:50-200, WB 1:500-1:2000, IHC-P 1:100-1:300, ELISA 1:10000.Not yet tested in other applications.
-
测量分子量130kDa
-
宿主Rabbit
-
同种型Rabbit, IgG
-
背景介绍This gene product is a protein tyrosine kinase involved in a specific subset of cytokine receptor signaling pathways. It has been found to be constituitively associated with the prolactin receptor and is required for responses to gamma interferon. Mice that do not express an active protein for this gene exhibit embryonic lethality associated with the absence of definitive erythropoiesis. [provided by RefSeq, Jul 2008]
-
组织表达Ubiquitously expressed throughout most tissues.
-
细胞定位Endomembrane system ; Peripheral membrane protein . Cytoplasm . Nucleus.
-
信号通路Chemokine;Jak_STAT;Adipocytokine;
-
功能catalytic activity:ATP + a [protein]-L-tyrosine = ADP + a [protein]-L-tyrosine phosphate.,disease:Chromosomal aberrations involving JAK2 are found in both chronic and acute forms of eosinophilic, lymphoblastic and myeloid leukemia. Translocation t(8;9)(p22;p24) with PCM1 links the protein kinase domain of JAK2 to the major portion of PCM1. Translocation t(9;12)(p24;p13) with ETV6.,disease:Defects in JAK2 are a cause of acute myelogenous leukemia (AML) [MIM:601626]. AML is a malignant disease in which hematopoietic precursors are arrested in an early stage of development.,disease:Defects in JAK2 are a cause of susceptibility to Budd-Chiari syndrome [MIM:600880]. Budd-Chiari syndrome is a spectrum of disease states, including anatomic abnormalities and hypercoagulable disorders, resulting in hepatic venous outflow occlusion. Clinical manifestations observed in the majority of patients include hepatomegaly, right upper quadrant pain, and abdominal ascites.,disease:Defects in JAK2 are associated with familial myelofibrosis [MIM:254450]. Myelofibrosis with myeloid metaplasia is a myeloproliferative disease with annual incidence of 0.5-1.5 cases per 100,000 individuals and age at diagnosis around 60 (an increased prevalence is noted in Ashkenazi Jews). Clinical manifestations depend on the type of blood cell affected and may include anemia, pallor, splenomegaly, hypermetabolic state, petechiae, ecchymosis, bleeding, lymphadenopathy, hepatomegaly, portal hypertension.,disease:Defects in JAK2 are associated with polycythemia vera (PV) [MIM:263300]. PV, the most common form of primary polycythemia, is caused by somatic mutation in a single hematopoietic stem cell leading to clonal hematopoiesis. PV is a myeloproliferative disorder characterized predominantly by erythroid hyperplasia, but also by myeloid leukocytosis, thrombocytosis, and splenomegaly. Familial cases of PV are very rare and usually manifest in elderly patients.,disease:Defects in JAK2 gene may be a cause of essential thrombocythemia (ET) [MIM:187950]. ET is characterized by elevated platelet levels due to sustained proliferation of megakaryocytes, and frequently lead to thrombotic and haemorrhagic complications.,domain:Possesses two phosphotransferase domains. The second one probably contains the catalytic domain (By similarity), while the presence of slight differences suggest a different role for domain 1.,function:Plays a role in leptin signaling and control of body weight (By similarity). Tyrosine kinase of the non-receptor type, involved in interleukin-3 and probably interleukin-23 signal transduction.,PTM:Leptin promotes phosphorylation on tyrosine residues, including phosphorylation on Tyr-813.,similarity:Belongs to the protein kinase superfamily. Tyr protein kinase family.,similarity:Belongs to the protein kinase superfamily. Tyr protein kinase family. JAK subfamily.,similarity:Contains 1 FERM domain.,similarity:Contains 1 protein kinase domain.,similarity:Contains 1 SH2 domain.,subcellular location:Wholly intracellular, possibly membrane associated.,subunit:Interacts with SIRPA and SH2B1 (By similarity). Interacts with IL23R, SKB1 and STAM2.,tissue specificity:Expressed in blood, bone marrow and lymph node.
-
纯化The antibody was affinity-purified from rabbit antiserum by affinity-chromatography using epitope-specific immunogen.
储存与保存1.保存:Maintain refrigerated at 2-8°C for up to 2 weeks.
2.有效期:For long term storage store at -20°C in small aliquots to prevent freeze-thaw cycles.
注意事项1.我司生产的生化试剂如无特殊标注,基本为非无菌包装,若用于细胞实验,请提前做好预处理。需低温保存的产品,一旦配成溶液,请分装保存,避免反复冻融造成的产品失效。
2.本产品仅供科研使用。请勿用于医药、临床诊断或治疗,食品及化妆品等用途。请勿存放于普通住宅区。
3.为了您的安全和健康,请穿好实验服并佩戴一次性手套和口罩操作。
4.实验结果可由多种因素影响,相关处理只限于产品本身,不涉及其他赔偿。
备注:由于产品信息可能会有优化升级,请以实际收货标签信息为准
-
NF-κB p65 (Phospho Ser536) (14B13) Rabbit Monoclonal Antibody¥1300.00货号:IM72029 -
PI3-Kinase p110α (11A15) Rabbit Monoclonal Antibody¥1300.00货号:IM72028 -
FAP (6L4) Rabbit Monoclonal Antibody¥1300.00货号:IM72027 -
KANSL1L Rabbit polyclonal antibody¥1400.00货号:IM72021 -
CD46 Recombinant Rabbit mAb¥1400.00货号:IM72020










