- 生化试剂
- ELISA检测
-
抗体蛋白
二抗生物素标记 过氧化物酶(HRP)标记 胶体金试剂 FITC荧光标记 RBITC荧光标记 二抗免疫血清 其它荧光标记二抗 藻红蛋白(PE)荧光标记 胶体金(Gold)标记 SAlexa Fluor荧光系列 碱性磷酸酶(AP)标记 别藻蓝蛋白(APC)荧光标记 其它标记 PE标记二抗 DyLight标记二抗 AU标记二抗 Biotin标记二抗 AMCA标记二抗 Texas Red标记二抗 TRITC标记二抗 HRP标记二抗 未标记二抗 Cy标记二抗 AbBox Fluor标记二抗内参抗体 小分子抗体抗体标记试剂盒细菌抗体蛋白病毒包装试剂杂交瘤融合筛选WB、IHC、ELISA相关试剂细胞培养试剂病原微生物抗原抗体假病毒抗体校准品其他抗原抗体标记的标签抗体病理级IHC抗体重组蛋白
- 细胞培养
- 实验耗材
- 仪器设备
- 生化试剂盒
- 小分子试剂
- 基质胶
-
斑马鱼产品
订货时间:周一至周五
订货Q Q:79688691
订货邮件:79688691@qq.com
产品简介-
产品货号IM52689
-
别名CD9; MIC3; TSPAN29; GIG2; CD9 antigen; 5H9 antigen; Cell growth-inhibiting gene 2 protein; Leukocyte antigen MIC3; Motility-related protein; MRP-1; Tetraspanin-29; Tspan-29; p24; CD antigen CD9
-
产品名称CD9 Rabbit Polyclonal Antibody
-
类别抗体产品
-
基因名称CD9
-
蛋白名称CD9 antigen
-
ClonalityPolyclonal
-
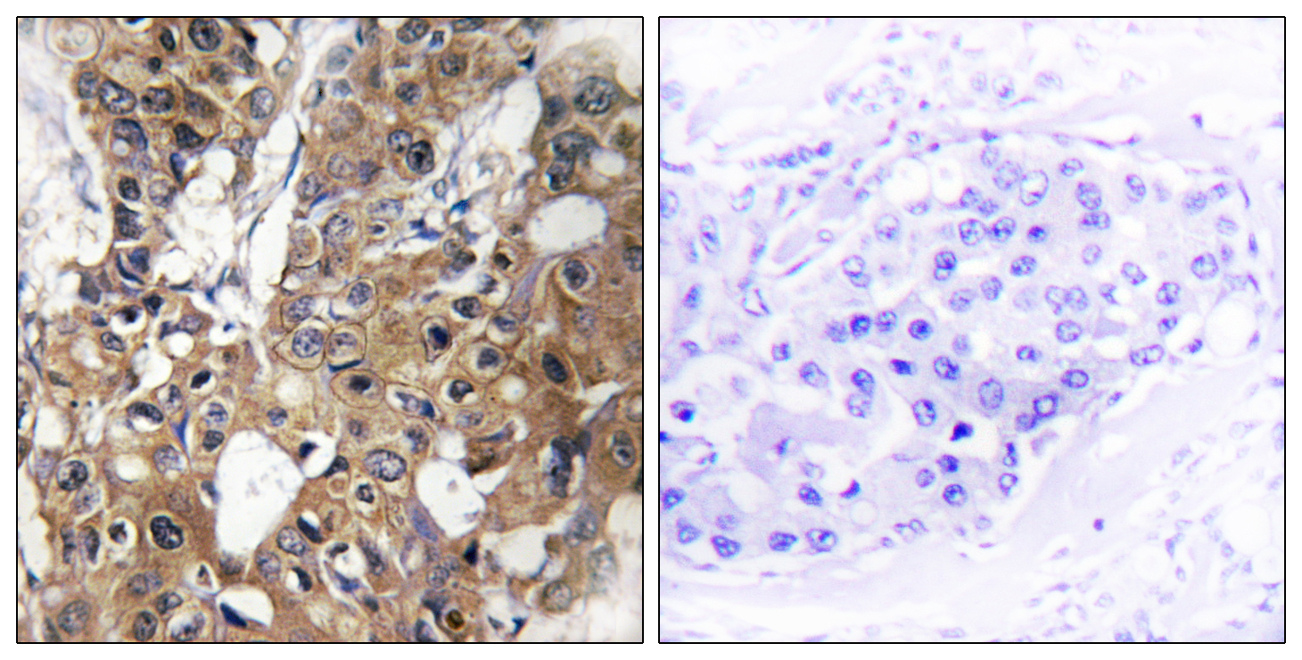
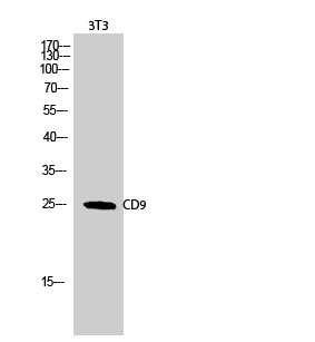
推荐应用WB,IHC-P,IF-P,IF-F,IF-ICC,ELISA
-
反应种属Human,Mouse,Rat
-
浓度1 mg/ml
-
存储缓冲液Liquid in PBS containing 50% glycerol, 0.5% BSA and 0.02% New type preservative N.
-
Human Gene ID928
-
Human Swissprot No.P21926
-
Mouse Gene ID12527
-
Mouse Swissprot No.P40240
-
Rat Gene ID24936
-
Rat Swissprot No.P40241
-
免疫原The antiserum was produced against synthesized peptide derived from human CD9. AA range:101-150
-
特异性CD9 Polyclonal Antibody detects endogenous levels of CD9 protein.
-
稀释度WB 1:500-1:2000, IHC-P 1:100-300, ELISA 1:20000, IF-P/IF-F/IF-ICC 1:100-300, Not yet tested in other applications.
-
预测分子量25kDa
-
运输及保存条件-20°C/1 year
-
宿主Rabbit
-
同种型Rabbit,IgG
-
背景介绍This gene encodes a member of the transmembrane 4 superfamily, also known as the tetraspanin family. Tetraspanins are cell surface glycoproteins with four transmembrane domains that form multimeric complexes with other cell surface proteins. The encoded protein functions in many cellular processes including differentiation, adhesion, and signal transduction, and expression of this gene plays a critical role in the suppression of cancer cell motility and metastasis. [provided by RefSeq, Jan 2011]
-
组织表达Detected in platelets (at protein level) (PubMed:19640571). Expressed by a variety of hematopoietic and epithelial cells (PubMed:19640571).
-
细胞定位Cell membrane ; Multi-pass membrane protein . Membrane ; Multi-pass membrane protein . Secreted, extracellular exosome . Present at the cell surface of oocytes. Accumulates in the adhesion area between the sperm and egg following interaction between IZUMO1 and its receptor IZUMO1R/JUNO.
-
信号通路Hematopoietic cell lineage;
-
功能function:Involved in platelet activation and aggregation. Regulates paranodal junction formation. Involved in cell adhesion, cell motility and tumor metastasis. Required for sperm-egg fusion.,PTM:Protein exists in three forms with molecular masses between 22 and 27 kDa, and is known to carry covalently linked fatty acids.,similarity:Belongs to the tetraspanin (TM4SF) family.,subunit:Forms both disulfide-linked homodimers and higher homooligomers as well as heterooligomers with other members of the tetraspanin family. Associates with CR2/CD21 and with PTGFRN/CD9P1. Interacts directly with IGSF8.,tissue specificity:Expressed by a variety of hematopoietic and epithelial cells.
-
纯化The antibody was affinity-purified from rabbit antiserum by affinity-chromatography using epitope-specific immunogen.
存储与保存1.保存:-20℃
2.有效期:1年
注意事项1.我司生产的生化试剂如无特殊标注,基本为非无菌包装,若用于细胞实验,请提前做好预处理。需低温保存的产品,一旦配成溶液,请分装保存,避免反复冻融造成的产品失效。
2.本产品仅供科研使用。请勿用于医药、临床诊断或治疗,食品及化妆品等用途。请勿存放于普通住宅区。
3.为了您的安全和健康,请穿好实验服并佩戴一次性手套和口罩操作。
4.实验结果可由多种因素影响,相关处理只限于产品本身,不涉及其他赔偿。
备注:由于产品信息可能会有优化升级,请以实际收货标签信息为准。
-
NF-κB p65 (Phospho Ser536) (14B13) Rabbit Monoclonal Antibody¥1300.00货号:IM72029 -
PI3-Kinase p110α (11A15) Rabbit Monoclonal Antibody¥1300.00货号:IM72028 -
FAP (6L4) Rabbit Monoclonal Antibody¥1300.00货号:IM72027 -
KANSL1L Rabbit polyclonal antibody¥1400.00货号:IM72021 -
CD46 Recombinant Rabbit mAb¥1400.00货号:IM72020








