- 生化试剂
- ELISA检测
-
抗体蛋白
二抗生物素标记 过氧化物酶(HRP)标记 胶体金试剂 FITC荧光标记 RBITC荧光标记 二抗免疫血清 其它荧光标记二抗 藻红蛋白(PE)荧光标记 胶体金(Gold)标记 SAlexa Fluor荧光系列 碱性磷酸酶(AP)标记 别藻蓝蛋白(APC)荧光标记 其它标记 PE标记二抗 DyLight标记二抗 AU标记二抗 Biotin标记二抗 AMCA标记二抗 Texas Red标记二抗 TRITC标记二抗 HRP标记二抗 未标记二抗 Cy标记二抗 AbBox Fluor标记二抗内参抗体 小分子抗体抗体标记试剂盒细菌抗体蛋白病毒包装试剂杂交瘤融合筛选WB、IHC、ELISA相关试剂细胞培养试剂病原微生物抗原抗体假病毒抗体校准品其他抗原抗体标记的标签抗体病理级IHC抗体重组蛋白
- 细胞培养
- 实验耗材
- 仪器设备
- 生化试剂盒
- 小分子试剂
- 基质胶
-
斑马鱼产品
订货时间:周一至周五
订货Q Q:79688691
订货邮件:79688691@qq.com
- 种属:H,M,R,Mk
- 用途:WB,ELISA,IP,IHC-P,IF-P,IF-F,IF-ICC
产品简介-
货号IM51021
-
别名STAT3; APRF; Signal transducer and activator of transcription 3; Acute-phase response factor
-
产品名称Stat3 (phospho Ser727) Rabbit Polyclonal Antibody
-
类别抗体产品
-
基因名称STAT3
-
蛋白名称Signal transducer and activator of transcription 3
-
ClonalityPolyclonal
-
推荐应用IF-P,IF-F,IF-ICC,WB,IHC-P,IP,ELISA
-
反应种属Human,Mouse,Rat,Monkey
-
浓度1 mg/ml
-
存储缓冲液Liquid in PBS containing 50% glycerol, 0.5% BSA and 0.02% New type preservative N.
-
Human Gene ID6774
-
Human Swissprot No.P40763
-
Mouse Gene ID20848
-
Mouse Swissprot No.P42227
-
Rat Gene ID25125
-
Rat Swissprot No.P52631
-
免疫原The antiserum was produced against synthesized peptide derived from human STAT3 around the phosphorylation site of Ser727. AA range:694-743
-
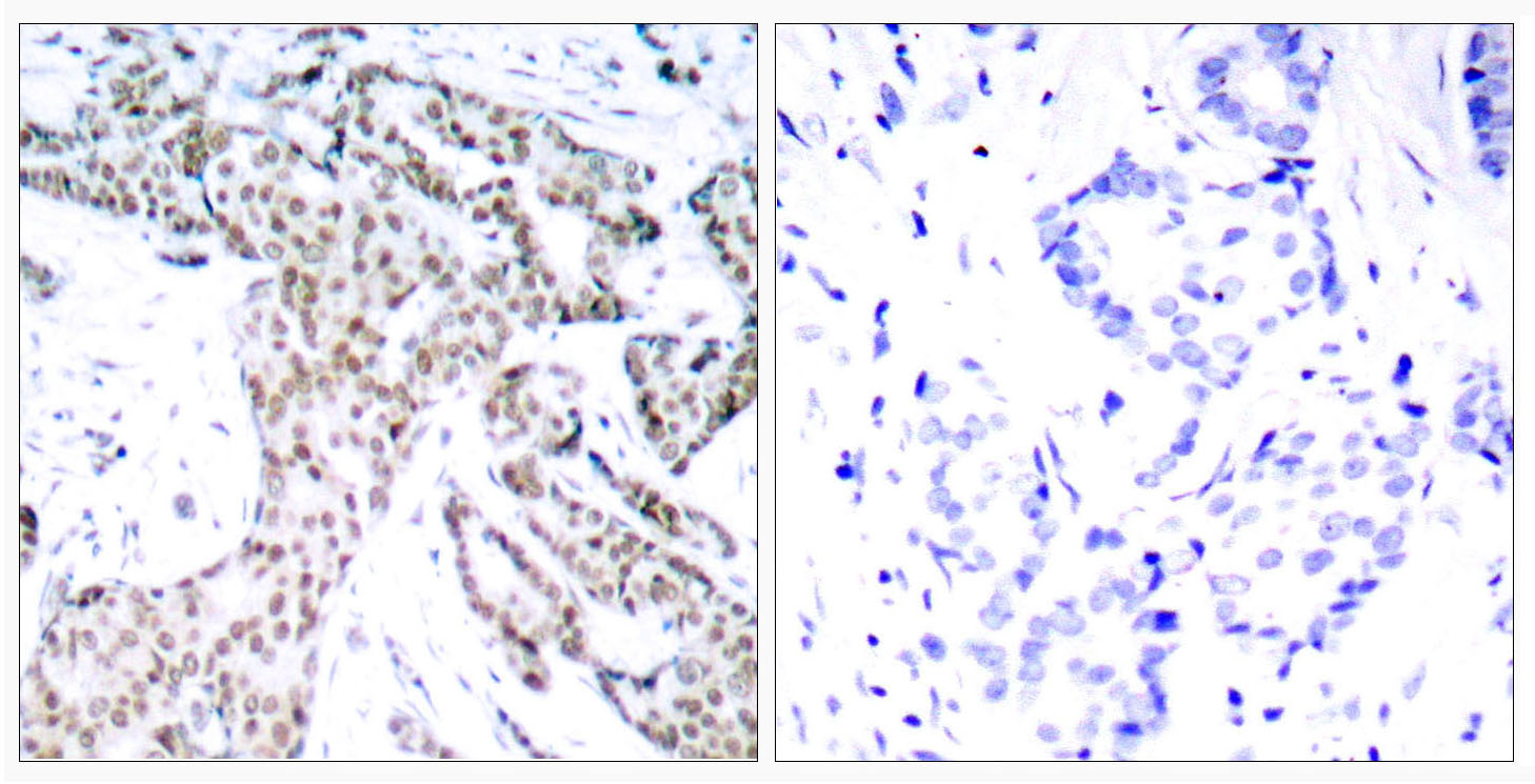
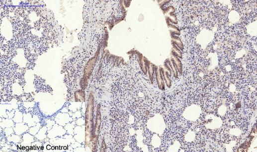
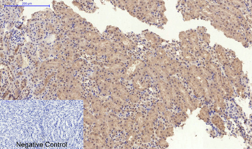
特异性Phospho-Stat3 (S727) Polyclonal Antibody detects endogenous levels of Stat3 protein only when phosphorylated at S727.
-
稀释度F-P/IF-F/IF-ICC 1:50-200, WB 1:500-1:2000, IHC-P 1:100-1:300, Immunoprecipitation 2-5 ug/mg lysate, ELISA 1:10000.Not yet tested in other applications.
-
预测分子量85kDa
-
宿主Rabbit
-
同种型Rabbit,IgG
-
背景介绍The protein encoded by this gene is a member of the STAT protein family. In response to cytokines and growth factors, STAT family members are phosphorylated by the receptor associated kinases, and then form homo- or heterodimers that translocate to the cell nucleus where they act as transcription activators. This protein is activated through phosphorylation in response to various cytokines and growth factors including IFNs, EGF, IL5, IL6, HGF, LIF and BMP2. This protein mediates the expression of a variety of genes in response to cell stimuli, and thus plays a key role in many cellular processes such as cell growth and apoptosis. The small GTPase Rac1 has been shown to bind and regulate the activity of this protein. PIAS3 protein is a specific inhibitor of this protein. Mutations in this gene are associated with infantile-onset multisystem autoimmune disease and hyper
-
组织表达Heart, brain, placenta, lung, liver, skeletal muscle, kidney and pancreas. Expressed in naive CD4(+) T cells as well as T-helper Th17, Th1 and Th2 cells (PubMed:31899195).
-
细胞定位Cytoplasm . Nucleus . Shuttles between the nucleus and the cytoplasm. Translocated into the nucleus upon tyrosine phosphorylation and dimerization, in response to signaling by activated FGFR1, FGFR2, FGFR3 or FGFR4. Constitutive nuclear presence is independent of tyrosine phosphorylation. Predominantly present in the cytoplasm without stimuli. Upon leukemia inhibitory factor (LIF) stimulation, accumulates in the nucleus. The complex composed of BART and ARL2 plays an important role in the nuclear translocation and retention of STAT3. Identified in a complex with LYN and PAG1.
-
信号通路Regulation_Microtubule; SAPK_JNK; Stem cell pathway; Protein_Acetylation
-
功能disease:Defects in STAT3 are the cause of hyperimmunoglobulin E recurrent infection syndrome autosomal dominant (AD-HIES) [MIM:147060]; also known as hyper-IgE syndrome or Job syndrome. AD-HIES is a rare disorder of immunity and connective tissue characterized by immunodeficiency, chronic eczema, recurrent Staphylococcal infections, increased serum IgE, eosinophilia, distinctive coarse facial appearance, abnormal dentition, hyperextensibility of the joints, and bone fractures.,function:Transcription factor that binds to the interleukin-6 (IL-6)-responsive elements identified in the promoters of various acute-phase protein genes. Activated by IL31 through IL31RA.,miscellaneous:Involved in the gp130-mediated signaling pathway.,online information:STAT3 entry,online information:STAT3 mutation db,PTM:Tyrosine phosphorylated in response to IL-6, IL-11, CNTF, LIF, CSF-1, EGF, PDGF, IFN-alpha and OSM. Phosphorylated on serine upon DNA damage, probably by ATM or ATR. Serine phosphorylation is important for the formation of stable DNA-binding STAT3 homodimers and maximal transcriptional activity.,similarity:Belongs to the transcription factor STAT family.,similarity:Contains 1 SH2 domain.,subcellular location:Shuttles between the nucleus and the cytoplasm. Constitutive nuclear presence is independent of tyrosine phosphorylation.,subunit:Forms a homodimer or a heterodimer with a related family member (at least STAT1). Interacts with NCOA1, PELP1, SOCS7 and STATIP1. Interacts with HCV core protein. Interacts with IL23R in presence of IL23. Interacts with IL31RA. Interacts with SIPAR. Interacts (via SH2 domain) with NLK (By similarity). Interacts with KPNA4 and KPNA5; KPNA4 may be the primary mediator of nuclear import (By similarity). Interacts with TMF1.,tissue specificity:Heart, brain, placenta, lung, liver, skeletal muscle, kidney and pancreas.,
-
纯化The antibody was affinity-purified from rabbit antiserum by affinity-chromatography using epitope-specific immunogen.
储存与保存1.保存:-20℃
2.有效期:1年
注意事项1.我司生产的生化试剂如无特殊标注,基本为非无菌包装,若用于细胞实验,请提前做好预处理。需低温保存的产品,一旦配成溶液,请分装保存,避免反复冻融造成的产品失效。
2.本产品仅供科研使用。请勿用于医药、临床诊断或治疗,食品及化妆品等用途。请勿存放于普通住宅区。
3.为了您的安全和健康,请穿好实验服并佩戴一次性手套和口罩操作。
4.实验结果可由多种因素影响,相关处理只限于产品本身,不涉及其他赔偿。
备注:由于产品信息可能会有优化升级,请以实际收货标签信息为准。
-
NF-κB p65 (Phospho Ser536) (14B13) Rabbit Monoclonal Antibody¥1300.00货号:IM72029 -
PI3-Kinase p110α (11A15) Rabbit Monoclonal Antibody¥1300.00货号:IM72028 -
FAP (6L4) Rabbit Monoclonal Antibody¥1300.00货号:IM72027 -
KANSL1L Rabbit polyclonal antibody¥1400.00货号:IM72021 -
CD46 Recombinant Rabbit mAb¥1400.00货号:IM72020















