- 生化试剂
- ELISA检测
-
抗体蛋白
二抗生物素标记 过氧化物酶(HRP)标记 胶体金试剂 FITC荧光标记 RBITC荧光标记 二抗免疫血清 其它荧光标记二抗 藻红蛋白(PE)荧光标记 胶体金(Gold)标记 SAlexa Fluor荧光系列 碱性磷酸酶(AP)标记 别藻蓝蛋白(APC)荧光标记 其它标记 PE标记二抗 DyLight标记二抗 AU标记二抗 Biotin标记二抗 AMCA标记二抗 Texas Red标记二抗 TRITC标记二抗 HRP标记二抗 未标记二抗 Cy标记二抗 AbBox Fluor标记二抗内参抗体 小分子抗体抗体标记试剂盒细菌抗体蛋白病毒包装试剂杂交瘤融合筛选WB、IHC、ELISA相关试剂细胞培养试剂病原微生物抗原抗体假病毒抗体校准品其他抗原抗体标记的标签抗体病理级IHC抗体重组蛋白
- 细胞培养
- 实验耗材
- 仪器设备
- 生化试剂盒
- 小分子试剂
- 基质胶
-
斑马鱼产品
订货时间:周一至周五
订货Q Q:79688691
订货邮件:79688691@qq.com
产品简介-
货号IM51020
-
别名STAT1; Signal transducer and activator of transcription 1-alpha/beta; Transcription factor ISGF-3 components p91/p84
-
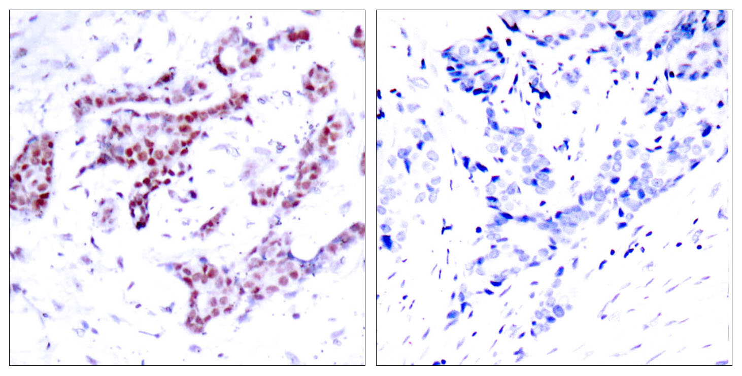
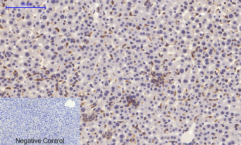
产品名称Stat1 (phospho Tyr701) Rabbit Polyclonal Antibody
-
类别抗体产品
-
基因名称STAT1
-
蛋白名称Signal transducer and activator of transcription 1-alpha/beta
-
ClonalityPolyclonal
-
推荐应用IF-P,IF-F,IF-ICC,WB,IHC-P,IP,ELISA
-
反应种属Human,Mouse,Rat,Monkey
-
浓度1 mg/ml
-
存储缓冲液Liquid in PBS containing 50% glycerol, 0.5% BSA and 0.02% New type preservative N.
-
Human Gene ID6772
-
Human Swissprot No.P42224
-
Mouse Swissprot No.P42225
-
免疫原The antiserum was produced against synthesized peptide derived from human STAT1 around the phosphorylation site of Tyr701. AA range:668-717
-
特异性Phospho-Stat1 (Y701) Polyclonal Antibody detects endogenous levels of Stat1 protein only when phosphorylated at Y701.
-
稀释度IF-P/IF-F/IF-ICC 1:50-200, WB 1:500-1:2000, IHC-P 1:100-1:300, Immunoprecipitation 2-5 ug/mg lysate, ELISA 1:10000.Not yet tested in other applications.
-
预测分子量87kDa
-
宿主Rabbit
-
同种型Rabbit,IgG
-
背景介绍The protein encoded by this gene is a member of the STAT protein family. In response to cytokines and growth factors, STAT family members are phosphorylated by the receptor associated kinases, and then form homo- or heterodimers that translocate to the cell nucleus where they act as transcription activators. This protein can be activated by various ligands including interferon-alpha, interferon-gamma, EGF, PDGF and IL6. This protein mediates the expression of a variety of genes, which is thought to be important for cell viability in response to different cell stimuli and pathogens. Two alternatively spliced transcript variants encoding distinct isoforms have been described. [provided by RefSeq, Jul 2008],
-
组织表达B-cell,Brain,Retina,Testis,
-
细胞定位Cytoplasm . Nucleus . Translocated into the nucleus upon tyrosine phosphorylation and dimerization, in response to IFN-gamma and signaling by activated FGFR1, FGFR2, FGFR3 or FGFR4 (PubMed:15322115). Monomethylation at Lys-525 is required for phosphorylation at Tyr-701 and translocation into the nucleus (PubMed:28753426). Translocates into the nucleus in response to interferon-beta stimulation (PubMed:26479788).
-
信号通路Chemokine;Toll_Like;Jak_STAT;Pathways in cancer;Pancreatic cancer;
-
功能disease:Defects in STAT1 are a cause of mendelian susceptibility to mycobacterial disease (MSMD) [MIM:209950]; also known as familial disseminated atypical mycobacterial infection. This rare condition confers predisposition to illness caused by moderately virulent mycobacterial species, such as Bacillus Calmette-Guerin (BCG) vaccine and environmental non-tuberculous mycobacteria, and by the more virulent Mycobacterium tuberculosis. Other microorganisms rarely cause severe clinical disease in individuals with susceptibility to mycobacterial infections, with the exception of Salmonella which infects less than 50% of these individuals. The pathogenic mechanism underlying MSMD is the impairment of interferon-gamma mediated immunity whose severity determines the clinical outcome. Some patients die of overwhelming mycobacterial disease with lepromatous-like lesions in early childhood, whereas others develop, later in life, disseminated but curable infections with tuberculoid granulomas. MSMD is a genetically heterogeneous disease with autosomal recessive, autosomal dominant or X-linked inheritance.,disease:Defects in STAT1 are the cause of STAT1 deficiency [MIM:600555]. Patients generally suffer from mycobacterial or viral diseases. In the case of complete deficiency, patients can die of viral disease.,function:Signal transducer and activator of transcription that mediates signaling by interferons (IFNs). Following type I IFN (IFN-alpha and IFN-beta) binding to cell surface receptors, Jak kinases (TYK2 and JAK1) are activated, leading to tyrosine phosphorylation of STAT1 and STAT2. The phosphorylated STATs dimerize, associate with ISGF3G/IRF-9 to form a complex termed ISGF3 transcription factor, that enters the nucleus. ISGF3 binds to the IFN stimulated response element (ISRE) to activate the transcription of interferon stimulated genes, which drive the cell in an antiviral state. In response to type II IFN (IFN-gamma), STAT1 is tyrosine- and serine-phosphorylated. It then forms a homodimer termed IFN-gamma-activated factor (GAF), migrates into the nucleus and binds to the IFN gamma activated sequence (GAS) to drive the expression of the target genes, inducing a cellular antiviral state.,online information:STAT1 entry,online information:STAT1 mutation db,PTM:Phosphorylated on tyrosine and serine residues in response to IFN-alpha, IFN-gamma, PDGF and EGF. Phosphorylation on Tyr-701 (lacking in beta form) by JAK promotes dimerization and subsequent translocation to the nucleus. Phosphorylation on Ser-727 by several kinases including MAPK14, ERK1/2 and CAMKII on IFN-gamma stimulation, regulates STAT1 transcriptional activity. Phosphorylation on Ser-727 promotes sumoylation though increasing interaction with PIAS. Phosphorylation on Ser-727 by PKCdelta induces apoptosis in response to DNA-damaging agents.,PTM:Sumoylated by SUMO1, SUMO2 and SUMO3. Sumoylation is enhanced by IFN-gamma-induced phosphorylation on Ser-727, and by interaction with PIAS proteins. Enhances the transactivation activity.,similarity:Belongs to the transcription factor STAT family.,similarity:Contains 1 SH2 domain.,subcellular location:Translocated into the nucleus in response to IFN-gamma-induced tyrosine phosphorylation and dimerization.,subunit:Isoform alpha homodimerizes upon IFN-gamma induced phosphorylation. Heterodimer with STAT2 upon IFN-alpha/beta induced phosphorylation. Interacts with NMI. Interacts with Sendai virus C', C, Y1 and Y2 proteins, Nipah virus P, V and W proteins, and rabies virus phosphoprotein preventing activation of ISRE and GAS promoter (By similarity). Interacts with HCV core protein; the interaction results in STAT1 degradation. Interacts with PIAS1; the interaction requires phosphorylation on Ser-727 and inhibits STAT1 activation.,
-
纯化The antibody was affinity-purified from rabbit antiserum by affinity-chromatography using epitope-specific immunogen.
储存与保存1.保存:-20℃
2.有效期:1年
注意事项1.我司生产的生化试剂如无特殊标注,基本为非无菌包装,若用于细胞实验,请提前做好预处理。需低温保存的产品,一旦配成溶液,请分装保存,避免反复冻融造成的产品失效。
2.本产品仅供科研使用。请勿用于医药、临床诊断或治疗,食品及化妆品等用途。请勿存放于普通住宅区。
3.为了您的安全和健康,请穿好实验服并佩戴一次性手套和口罩操作。
4.实验结果可由多种因素影响,相关处理只限于产品本身,不涉及其他赔偿。
备注:由于产品信息可能会有优化升级,请以实际收货标签信息为准。
-
NF-κB p65 (Phospho Ser536) (14B13) Rabbit Monoclonal Antibody¥1300.00货号:IM72029 -
PI3-Kinase p110α (11A15) Rabbit Monoclonal Antibody¥1300.00货号:IM72028 -
FAP (6L4) Rabbit Monoclonal Antibody¥1300.00货号:IM72027 -
KANSL1L Rabbit polyclonal antibody¥1400.00货号:IM72021 -
CD46 Recombinant Rabbit mAb¥1400.00货号:IM72020









