- 生化试剂
- ELISA检测
-
抗体蛋白
二抗生物素标记 过氧化物酶(HRP)标记 胶体金试剂 FITC荧光标记 RBITC荧光标记 二抗免疫血清 其它荧光标记二抗 藻红蛋白(PE)荧光标记 胶体金(Gold)标记 SAlexa Fluor荧光系列 碱性磷酸酶(AP)标记 别藻蓝蛋白(APC)荧光标记 其它标记 PE标记二抗 DyLight标记二抗 AU标记二抗 Biotin标记二抗 AMCA标记二抗 Texas Red标记二抗 TRITC标记二抗 HRP标记二抗 未标记二抗 Cy标记二抗 AbBox Fluor标记二抗内参抗体 小分子抗体抗体标记试剂盒细菌抗体蛋白病毒包装试剂杂交瘤融合筛选WB、IHC、ELISA相关试剂细胞培养试剂病原微生物抗原抗体假病毒抗体校准品其他抗原抗体标记的标签抗体病理级IHC抗体重组蛋白
- 细胞培养
- 实验耗材
- 仪器设备
- 生化试剂盒
- 小分子试剂
- 基质胶
-
斑马鱼产品
订货时间:周一至周五
订货Q Q:79688691
订货邮件:79688691@qq.com
产品简介破骨细胞功能检测专用牛骨片(以下简称牛骨片)包装于无菌的旋转盖封容器内。该骨片已通过紫外线杀菌并且只能在无菌环境中打开。这些骨片外观为边长4 mm的牛骨方片(正常厚度为300μm±30μm)。每批培养基均经过检测以确保能被有功能的破骨细胞重吸收。
使用方法(仅供参考)将RAW 264.7细胞接种到含有牛骨片的孔板中孵育,密度约为1×104个细胞/孔。用RANKL(50 ng/ml)和M-CSF(50 ng/ml)诱导培养不同处理后的细胞,每天换液一次。培养4-8天后取出骨片。
注意事项:
(1)牛骨片使用前,用pbs或者培养液冲洗3-5次,除去骨片表面的酒精,避免酒精对细胞的活性产生影响。
(2)上述破骨细胞诱导方法仅供参考,细胞诱导的条件按照自己之前的方法做,在诱导开始时加入牛骨片即可。
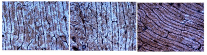
观察方法(仅供参考)1、甲苯胺蓝染色法
取出骨片。用0.25%氢氧化铵超声清洗3次,每次2min再用10%次氯酸钠室温漂白10min,双蒸水清洗3次,每次 5min,以1%甲苯胺蓝染色液常温染色3~4min蒸馏水清洗后光镜下观察。

2、WGA-凝集素染色法
取出骨片,随后用PBS超声波去除粘附在骨切片上的细胞。然后将切片与20 mg/ml过氧化物酶偶联的WGA-凝集素在室温下孵育30-60 min,然后与DAB过氧化物酶底物试剂盒一起室温孵育。吸收坑将被染成棕色。

3、扫描电镜观察法
取出骨片,随后用PBS超声波去除粘附在骨切片上的细胞。将牛骨片进行电子显微镜扫描

储存与保存1.保存:4℃中,打开包装后尽快使用,避免污染长菌
2.有效期:12个月
注意事项1.本产品为一次性用品,不可重复使用。
2.本产品仅供科研使用。请勿用于医药、临床诊断或治疗,食品及化妆品等用途。请勿存放于普通住宅区。
3.为了您的安全和健康,请穿好实验服并佩戴一次性手套和口罩操作。
4.实验结果可由多种因素影响,相关处理只限于产品本身,不涉及其他赔偿。
备注:由于产品信息可能会有优化升级,请以实际收货标签信息为准。









