- 细胞类
- 生化试剂
- ELISA检测
-
抗体蛋白
二抗生物素标记 过氧化物酶(HRP)标记 胶体金试剂 FITC荧光标记 RBITC荧光标记 二抗免疫血清 其它荧光标记二抗 藻红蛋白(PE)荧光标记 胶体金(Gold)标记 SAlexa Fluor荧光系列 碱性磷酸酶(AP)标记 别藻蓝蛋白(APC)荧光标记 其它标记 PE标记二抗 DyLight标记二抗 AU标记二抗 Biotin标记二抗 AMCA标记二抗 Texas Red标记二抗 TRITC标记二抗 HRP标记二抗 未标记二抗 Cy标记二抗 AbBox Fluor标记二抗内参抗体 小分子抗体抗体标记试剂盒细菌抗体蛋白病毒包装试剂杂交瘤融合筛选WB、IHC、ELISA相关试剂细胞培养试剂病原微生物抗原抗体假病毒抗体校准品其他抗原抗体标记的标签抗体病理级IHC抗体重组蛋白
- 细胞培养
- 实验耗材
- 仪器设备
- 生化试剂盒
- 小分子试剂
- 基质胶
-
斑马鱼产品
订货时间:周一至周五
订货Q Q:79688691
订货邮件:79688691@qq.com
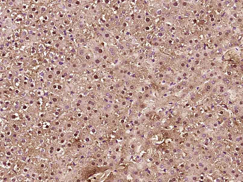
产品简介-
货号IM47918
-
产品名称MESP2 Rabbit pAb
-
别名SCDO2; bHLHc6; MESP2_HUMAN; MESP2; Class C basic helix-loop-helix protein 6 (bHLHc6);
-
抗体来源Rabbit
-
克隆类型Polyclonal
-
交叉反应Rat (predicted: Human,Mouse,Dog)
-
产品应用IHC-P=1:100-500,IHC-F=1:100-500,IF=1:100-500 not yet tested in other applications. optimal dilutions/concentrations should be determined by the end user.
-
理论分子量42 kDa
-
细胞定位细胞核
-
性状Liquid
-
浓度1mg/ml
-
免疫原KLH conjugated synthetic peptide derived from human MESP2: 311-397/397
-
亚型IgG
-
纯化方法affinity purified by Protein A
-
缓冲液0.01M TBS (pH7.4) with 1% BSA, 0.02% Proclin300 and 50% Glycerol.
-
产品介绍This gene encodes a member of the bHLH family of transcription factors and plays a key role in defining the rostrocaudal patterning of somites via interactions with multiple Notch signaling pathways. This gene is expressed in the anterior presomitic mesoderm and is downregulated immediately after the formation of segmented somites. This gene also plays a role in the formation of epithelial somitic mesoderm and cardiac mesoderm. Mutations in the MESP2 gene cause autosomal recessive spondylocostal dystosis 2 (SCD02). [provided by RefSeq, Oct 2008]
-
FunctionTranscription factor with important role in somitogenesis. Defines the rostrocaudal patterning of the somite by participating in distinct Notch pathways. Regulates also the FGF signaling pathway. Specifies the rostral half of the somites. Generates rostro-caudal polarity of somites by down-regulating in the presumptive rostral domain DLL1, a Notch ligand. Participates in the segment border formation by activating in the anterior presomitic mesoderm LFNG, a negative regulator of DLL1-Notch signaling. Acts as a strong suppressor of Notch activity. Together with MESP1 is involved in the epithelialization of somitic mesoderm and in the development of cardiac mesoderm.
-
Subcellular LocationNucleus.
-
Post-translational modificationsDegraded by the proteasome.
-
DISEASEDefects in MESP2 are the cause of spondylocostal dysostosis type 2 (SCDO2) [MIM:608681]. An autosomal recessive condition of variable severity associated with vertebral and rib segmentation defects. The main skeletal malformations include fusion of vertebrae, hemivertebrae, fusion of certain ribs, and other rib malformations. Deformity of the chest and spine (severe scoliosis, kyphoscoliosis and lordosis) is a natural consequence of the malformation and leads to a dwarf-like appearance. As the thorax is small, infants frequently have respiratory insufficiency and repeated respiratory infections resulting in life-threatening complications in the first year of life.
-
SimilarityContains 1 bHLH (basic helix-loop-helix) domain.
-
SWISSQ0VG99
-
Gene ID145873
储存与保存1.保存:-20℃
2.有效期:1年
注意事项1.我司生产的生化试剂如无特殊标注,基本为非无菌包装,若用于细胞实验,请提前做好预处理。需低温保存的产品,一旦配成溶液,请分装保存,避免反复冻融造成的产品失效。
2.本产品仅供科研使用。请勿用于医药、临床诊断或治疗,食品及化妆品等用途。请勿存放于普通住宅区。
3.为了您的安全和健康,请穿好实验服并佩戴一次性手套和口罩操作。
4.实验结果可由多种因素影响,相关处理只限于产品本身,不涉及其他赔偿。
备注:由于产品信息可能会有优化升级,请以实际收货标签信息为准。





