- 生化试剂
- ELISA检测
-
抗体蛋白
二抗生物素标记 过氧化物酶(HRP)标记 胶体金试剂 FITC荧光标记 RBITC荧光标记 二抗免疫血清 其它荧光标记二抗 藻红蛋白(PE)荧光标记 胶体金(Gold)标记 SAlexa Fluor荧光系列 碱性磷酸酶(AP)标记 别藻蓝蛋白(APC)荧光标记 其它标记 PE标记二抗 DyLight标记二抗 AU标记二抗 Biotin标记二抗 AMCA标记二抗 Texas Red标记二抗 TRITC标记二抗 HRP标记二抗 未标记二抗 Cy标记二抗 AbBox Fluor标记二抗内参抗体 小分子抗体抗体标记试剂盒细菌抗体蛋白病毒包装试剂杂交瘤融合筛选WB、IHC、ELISA相关试剂细胞培养试剂病原微生物抗原抗体假病毒抗体校准品其他抗原抗体标记的标签抗体病理级IHC抗体重组蛋白
- 细胞培养
- 实验耗材
- 仪器设备
- 生化试剂盒
- 小分子试剂
- 基质胶
-
斑马鱼产品
订货时间:周一至周五
订货Q Q:79688691
订货邮件:79688691@qq.com
产品简介-
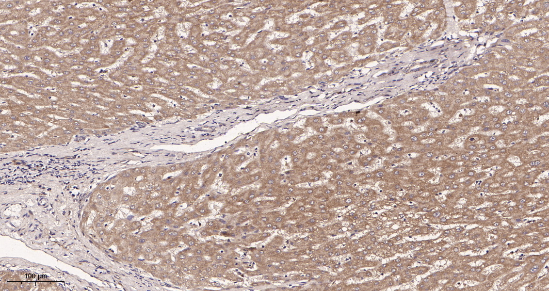
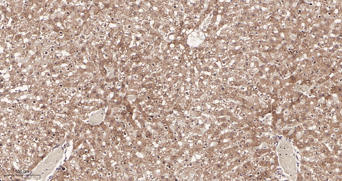
产品货号IM68907
-
别名NRP1;NRP;VEGF165R;Neuropilin-1;Vascular endothelial cell growth factor 165 receptor;CD antigen CD304
-
产品名称Neuropilin 1 (4Q18) Rabbit Monoclonal Antibody
-
类别抗体产品
-
基因名称NRP1
-
蛋白名称Neuropilin-1
-
ClonalityMonoclonal
-
推荐应用WB,IHC-P,IF-P,IF-F,IF-ICC,IP,ELISA
-
反应种属Human,Mouse,Rat
-
存储缓冲液PBS, 50% glycerol, 0.05% Proclin 300, 0.05%BSA
-
Human Gene ID8829
-
Human Swissprot No.O14786
-
Mouse Gene ID18186
-
Mouse Swissprot No.P97333
-
Rat Gene ID246331
-
Rat Swissprot No.Q9QWJ9
-
稀释度IHC-P 1:200-1000,WB 1:1000-5000,IF-P/IF-F/IF-ICC 1:200-1000,ELISA 1:5000-20000,IP 1:50-200
-
参考分子量135kDa
-
预测分子量103kDa
-
宿主Rabbit
-
同种型Monoclonal, rabbit, IgG, Kappa
-
背景介绍This gene encodes one of two neuropilins, which contain specific protein domains which allow them to participate in several different types of signaling pathways that control cell migration. Neuropilins contain a large N-terminal extracellular domain, made up of complement-binding, coagulation factor V/VIII, and meprin domains. These proteins also contains a short membrane-spanning domain and a small cytoplasmic domain. Neuropilins bind many ligands and various types of co-receptors; they affect cell survival, migration, and attraction. Some of the ligands and co-receptors bound by neuropilins are vascular endothelial growth factor (VEGF) and semaphorin family members. Several alternatively spliced transcript variants that encode different protein isoforms have been described for this gene. [provided by RefSeq, Oct 2011].
-
信号通路Axon guidance
-
功能function:The membrane-bound isoform 1 is a receptor involved in the development of the cardiovascular system, in angiogenesis, in the formation of certain neuronal circuits and in organogenesis outside the nervous system. It mediates the chemorepulsant activity of semaphorins. It binds to semaphorin 3A, The PLGF-2 isoform of PGF, The VEGF-165 isoform of VEGF and VEGF-B. Coexpression with KDR results in increased VEGF-165 binding to KDR as well as increased chemotaxis. It may regulate VEGF-induced angiogenesis.,function:The soluble isoform 2 binds VEGF-165 and appears to inhibit its binding to cells. It may also induce apoptosis by sequestering VEGF-165. May bind as well various members of the semaphorin family. Its expression has an averse effect on blood vessel number and integrity.,similarity:Belongs to the neuropilin family.,similarity:Contains 1 F5/8 type C domain.,similarity:Contains 1 MAM domain.,similarity:Contains 2 CUB domains.,similarity:Contains 2 F5/8 type C domains.,subunit:Heterodimer with NRP2 (Probable). Binds PLXNB1.,tissue specificity:The expression of isoforms 1 and 2 does not seem to overlap. Isoform 1 is expressed by the blood vessels of different tissues. In the developing embryo it is found predominantly in the nervous system. In adult tissues, it is highly expressed in heart and placenta; moderately in lung, liver, skeletal muscle, kidney and pancreas; and low in adult brain. Isoform 2 is found in liver hepatocytes, kidney distal and proximal tubules.
-
纯化Protein A
储存与保存1.保存:-20℃
2.有效期:1年
注意事项1.我司生产的生化试剂如无特殊标注,基本为非无菌包装,若用于细胞实验,请提前做好预处理。需低温保存的产品,一旦配成溶液,请分装保存,避免反复冻融造成的产品失效。
2.本产品仅供科研使用。请勿用于医药、临床诊断或治疗,食品及化妆品等用途。请勿存放于普通住宅区。
3.为了您的安全和健康,请穿好实验服并佩戴一次性手套和口罩操作。
4.实验结果可由多种因素影响,相关处理只限于产品本身,不涉及其他赔偿。
备注:由于产品信息可能会有优化升级,请以实际收货标签信息为准。











