- 细胞类
- 生化试剂
- ELISA检测
-
抗体蛋白
二抗生物素标记 过氧化物酶(HRP)标记 胶体金试剂 FITC荧光标记 RBITC荧光标记 二抗免疫血清 其它荧光标记二抗 藻红蛋白(PE)荧光标记 胶体金(Gold)标记 SAlexa Fluor荧光系列 碱性磷酸酶(AP)标记 别藻蓝蛋白(APC)荧光标记 其它标记 PE标记二抗 DyLight标记二抗 AU标记二抗 Biotin标记二抗 AMCA标记二抗 Texas Red标记二抗 TRITC标记二抗 HRP标记二抗 未标记二抗 Cy标记二抗 AbBox Fluor标记二抗内参抗体 小分子抗体抗体标记试剂盒细菌抗体蛋白病毒包装试剂杂交瘤融合筛选WB、IHC、ELISA相关试剂细胞培养试剂病原微生物抗原抗体假病毒抗体校准品其他抗原抗体标记的标签抗体病理级IHC抗体重组蛋白
- 细胞培养
- 实验耗材
- 仪器设备
- 生化试剂盒
- 小分子试剂
- 基质胶
-
斑马鱼产品
订货时间:周一至周五
订货Q Q:79688691
订货邮件:79688691@qq.com
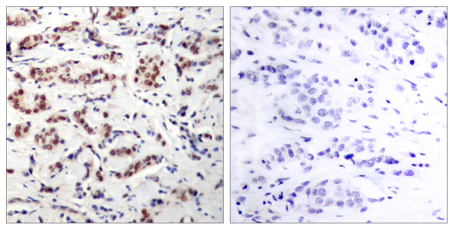
产品简介-
货号IM51025
-
别名STAT5A; STAT5; Signal transducer and activator of transcription 5A; STAT5B; Signal transducer and activator of transcription 5B;STAT5B
-
产品名称Stat5 (phospho Tyr694/699) Rabbit Polyclonal Antibody
-
类别抗体产品
-
基因名称STAT5A
-
蛋白名称Signal transducer and activator of transcription 5A/B
-
ClonalityPolyclonal
-
推荐应用WB,IHC-P,IF-P,IF-F,IF-ICC,ELISA
-
反应种属Human,Mouse,Rat
-
浓度1 mg/ml
-
储存缓冲液Liquid in PBS containing 50% glycerol, 0.5% BSA and 0.02% New type preservative N.
-
Human Gene ID6776/6777
-
Human Swissprot No.P42229/P51692
-
Mouse Gene ID20850/20851
-
Rat Gene ID24918/25126
-
Rat Swissprot No.Q62771/P52632
-
免疫原The antiserum was produced against synthesized peptide derived from human STAT5A around the phosphorylation site of Tyr694. AA range:666-715
-
特异性Phospho-Stat5 (Y694/699) Polyclonal Antibody detects endogenous levels of Stat5 protein only when phosphorylated at Y694/699.
-
稀释度WB 1:500-1:2000, IHC-P 1:100-1:300, ELISA 1:20000, IF-P/IF-F/IF-ICC 1:50-200
-
预测分子量91kDa
-
宿主Rabbit
-
同种型Rabbit,IgG
-
背景介绍The protein encoded by this gene is a member of the STAT family of transcription factors. In response to cytokines and growth factors, STAT family members are phosphorylated by the receptor associated kinases, and then form homo- or heterodimers that translocate to the cell nucleus where they act as transcription activators. This protein is activated by, and mediates the responses of many cell ligands, such as IL2, IL3, IL7 GM-CSF, erythropoietin, thrombopoietin, and different growth hormones. Activation of this protein in myeloma and lymphoma associated with a TEL/JAK2 gene fusion is independent of cell stimulus and has been shown to be essential for tumorigenesis. The mouse counterpart of this gene is found to induce the expression of BCL2L1/BCL-X(L), which suggests the antiapoptotic function of this gene in cells. Alternatively spliced transcript variants have been
-
组织表达Brain,Cervix,Epithelium,Lung,Placenta,Synovial memb
-
细胞定位Cytoplasm . Nucleus . Translocated into the nucleus in response to phosphorylation.
-
信号通路ErbB_HER;Jak_STAT;Pathways in cancer;Chronic myeloid leukemia;Acute myeloid leukemia;
-
功能function:Carries out a dual function: signal transduction and activation of transcription. Binds to the GAS element and activates PRL-induced transcription.,online information:STAT5 entry,PTM:Tyrosine phosphorylated in response to IL-2, IL-3, IL-7, IL-15, GM-CSF, growth hormone, prolactin, erythropoietin and thrombopoietin. Tyrosine phosphorylation is required for DNA-binding activity and dimerization. Serine phosphorylation is also required for maximal transcriptional activity.,similarity:Belongs to the transcription factor STAT family.,similarity:Contains 1 SH2 domain.,subcellular location:Translocated into the nucleus in response to phosphorylation.,subunit:Forms a homodimer or a heterodimer with a related family member. Binds NR3C1 (By similarity). Interacts with NCOA1 and SOCS7.,
-
纯化The antibody was affinity-purified from rabbit antiserum by affinity-chromatography using epitope-specific immunogen.
储存与保存1.保存:-20℃
2.有效期:1年
注意事项1.我司生产的生化试剂如无特殊标注,基本为非无菌包装,若用于细胞实验,请提前做好预处理。需低温保存的产品,一旦配成溶液,请分装保存,避免反复冻融造成的产品失效。
2.本产品仅供科研使用。请勿用于医药、临床诊断或治疗,食品及化妆品等用途。请勿存放于普通住宅区。
3.为了您的安全和健康,请穿好实验服并佩戴一次性手套和口罩操作。
4.实验结果可由多种因素影响,相关处理只限于产品本身,不涉及其他赔偿。
备注:由于产品信息可能会有优化升级,请以实际收货标签信息为准。






